Síndrome coronária aguda (SCA)


Escrito e verificado por médico Nelton Abdon Ramos Rojas
A síndrome coronária aguda, ou SCA, ocorre quando se reduz de forma drástica o fluxo de sangue que chega ao coração. Na maioria dos casos ocorre por uma erosão ou ruptura de uma placa de ateroma das artérias coronárias.
As placas de ateroma são grãos de gordura formados na periferia dos vasos sanguíneos. O desprendimento de um fragmento de tal placa de ateroma desencadeia a formação de um trombo e a posterior obstrução, total ou parcial, da artéria coronária.
Dado que as artérias coronárias são os principais vasos sanguíneos que irrigam o coração, o resultado de sua obstrução é uma falta de fluxo aguda no músculo cardíaco. Produz-se então uma cardiopatia isquêmica.
Ainda que esta seja a principal causa de aparecimento da SCA, existem outras causas menos frequentes da síndrome coronária aguda. Entre elas pode-se mencionar as seguintes:
- Doença de Kawasaki.
- Artrite reumatoide.
- Traumatismos.
- Tromboses coronárias.
- Estados de hipercoagulabilidade.
- Embolismos arteriais.
- Dissecação espontânea coronária.
- Anomalias congênitas.
Manifestações clínicas da SCA

A dor torácica é o principal sinal da SCA. No entanto, podem aparecer outras manifestações associadas. O principal sintoma da SCA é a dor torácica opressiva. Normalmente localizada na zona do esterno ou do estômago. Esta dor pode se irradiar para áreas como os ombros, o pescoço ou a mandíbula.
O começo da dor é repentino e sua intensidade crescente. Uma dor que chega ao seu pico máximo em torno de 2-5 minutos. No entanto, estes episódios, às vezes, são intermitentes.
Outros tipos de sintomas que podem aparecer é a presença de náuseas, vômitos, dor abdominal ou tonturas. Alguns pacientes podem apresentar hipotensão, transpiração, palidez e pulso irregular.
Ainda mais, em pacientes jovens de entre 25 a 40 anos e em idosos de mais de 75 anos o quadro clínico pode ser mais inespecífico e atípico. Pode-se manifestar como dor epigástrica, sensação de indigestão, cansaço ou síncope.
Não deixe de ler: São diferentes o infarto feminino do masculino?
Diagnóstico da SCA
Normalmente, o diagnóstico da SCA se estabelece pela manifestação de dores no peito com suspeita de isquemia. Nesses casos, os médicos realizarão uma série de exames complementares para determinar a existência e gravidade da doença.
Eletrocardiograma

O eletrocardiograma será o exame diagnóstico de escolha no caso de doenças cardíacas. O eletrocardiograma é um exame médico que registra a atividade elétrica do coração em cada batida. Esta atividade é mostrada em uma representação gráfica que mostra as estimulações elétricas dos átrios e dos ventrículos.
Ante a suspeita da SCA, o eletrocardiograma deve ser realizado nos 10 primeiros minutos de avaliação do paciente. Caso o resultado não seja suficiente, mas sigam existindo evidências clínicas, o eletrocardiograma será repetido a cada 15-30 minutos para continuar a avaliação.
Enzimas cardíacas
Graças a uma amostra de sangue, são analisadas as enzimas cardíacas indicadoras de necrose miocárdica. Se algum destes marcadores se mostra elevado, deve-se suspeitar da existência de um infarto do miocárdio. Nesse sentido, este aspecto elevaria o risco de morte.
Estes marcadores de necrose miocárdica são as troponinas e a isoenzima massa da creatinina quinase. Sua análise deve ser feita durante os 60 minutos iniciais.
No entanto, a ausência destes marcadores durante uma primeira análise não descarta o dano miocárdico. Por isso, o exame deve ser repetido nas 6 e nas 12 horas após a dor torácica.
Talvez te interesse ler ademais: 5 dicas para reconhecer um infarto ou ataque do coração
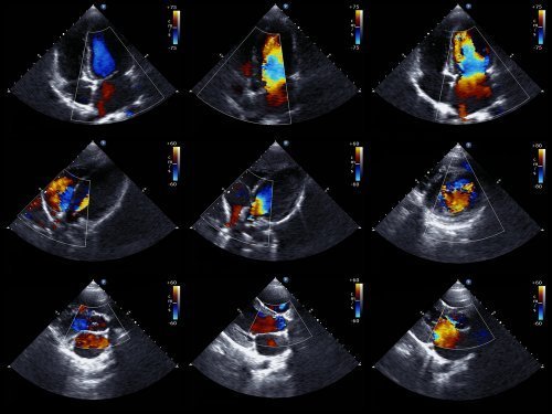
Ecocardiograma

Para uma observação mais exaustiva, o ecocardiograma é uma técnica mais visual do movimento do coração. O ecocardiograma é um exame médico muito utilizado, já que permite obter imagens em movimento do coração. Dessa forma, pode-se avaliar o estado das cavidades cardíacas e seu movimento, e assim confirmar ou descartar a presença de isquemia.
Também se pode avaliar o tamanho do coração, sua força e o estado das paredes que delimitam suas câmaras. Além disso, trata-se de um exame não invasivo, que não traz riscos para o paciente. É assim porque usa ultrassom para conseguir as imagens do órgão.
A ausência de alterações na mobilidade da parede cardíaca exclui a presença de isquemia importante. No entanto, a existência de anormalidades em tal mobilidade não é exclusiva da SCA. Por isso, devem-se avaliar conjuntamente os resultados dos exames e os sintomas.
Outros possíveis exames
Às vezes, pode-se realizar uma angiografia coronária. É um exame que utiliza uma tinta especial juntamente com radiografias e que permite observar como o sangue flui através do coração.
Por fim, existem outros exames complementares que podem ser realizados para o diagnóstico. Trata-se do exame de esforço físico, o exame de esforço com radioisótopos e a ecocardiografia de esforço.
Todas as fontes citadas foram minuciosamente revisadas por nossa equipe para garantir sua qualidade, confiabilidade, atualidade e validade. A bibliografia deste artigo foi considerada confiável e precisa academicamente ou cientificamente.
- Cabrera S, Serrano I, Sans J, Bardají A. Protocolo diagnóstico del dolor torácico agudo. En: Urgencias. Unidades de dolor torácico. Medicine 2009;10(37)2511-4.
- Fauci, Braunwald, Kasper, Hauser, Longo, Jameson et al. Harrison, principios de Medicina Interna. Vol I-17a Edición. Mc Graw Hill Año 2009:87-91.
- Segura De La Cal, T., Carbonell San Román, S. A., & Zamorano Gómez, J. L. (2013). Síndrome coronario agudo. Medicine (Spain). https://doi.org/10.1016/S0304-5412(13)70608-5
- Sociedad Española de Cardiología. (2017). Proceso asistencial simplificado del síndrome coronario agudo. Sociedad Española de Cardiología. https://doi.org/http://dx.doi.org/10.2139/
- Lee Th, Goldman L. Evaluation Of The Patient With Acte Chest Pain. New England Journal Med 2000;342:1187-95
Este texto é fornecido apenas para fins informativos e não substitui a consulta com um profissional. Em caso de dúvida, consulte o seu especialista.







