Como posso eliminar a placa e melhorar a minha saúde bucal?

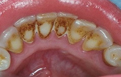
A placa é o acúmulo de resíduos de alimentos nas superfícies internas e externas dos dentes. Esta condição bucal pode provocar mau hálito e também pode desenvolver outros tipos de alterações prejudiciais para a saúde bucal, como o tártaro, que se desenvolve quando estes resíduos endurecem e se fixam aos dentes, provocando sangramento e halitose.
Ainda que não exista uma solução definitiva para evitar o desenvolvimento da placa bacteriana nos dentes, podemos realizar uma série de procedimentos caseiros para diminuir o acúmulo de resíduos na boca e evitar que a doença avance. Quer saber mais a respeito?
O melhor a fazer é mudar a maneira como você escova seus dentes. A maioria das pessoas, quando escova os dentes, sempre o faz de forma horizontal e da esquerda para a direita, mas muitos não sabem que, ao escovar os dentes assim, podemos aumentar a sensibilidade e possivelmente causar má oclusão dentária.
Portanto, devemos escovar nossos dentes de maneira vertical, primeiro a parte de cima e depois a parte de baixo, e os molares de forma circular, terminando sempre a higiene bucal com o fio dental para eliminar os possíveis resíduos que se encontram nos espaços pouco acessíveis.
Além disso, quando terminar, use um enxaguante bucal e lave também sua escova de dentes; para limpá-la de resíduos que possam ter ficado presos a ela.
Troque sua escova de dentes pelo menos quatro vezes ao ano e, também, utilize uma pasta de dentes que contenha flúor
Mude sua alimentação
Manter uma dieta equilibrada é o melhor que podemos fazer para fortalecer a saúde dos dentes. Portanto, tente não consumir açúcar e carboidratos refinados, bebidas que sejam escuras e que contenham gás e, se o fizer, tente usar um canudo para reduzir o contato direto delas com os dentes.
Não consuma muitos alimentos com farinhas e aglutinantes, e se os ingerir, não se esqueça de escovar os dentes logo depois, para evitar doenças ou infecções bacterianas.
Como posso complementar a minha saúde bucal?
Os remédios caseiros, muitas vezes, podem ser bastante efetivos quando se trata de combater este tipo de condição bucal, como a placa bacteriana; mas é importante não se exceder nas quantidades para que eles não acabem por deixar mais vulnerável a saúde dos dentes em vez de melhorá-la.
Alguns dos remédios caseiros que são utilizados para combater a placa e melhorar a saúde bucal são os seguintes:
Chiclete
Para algumas pessoas esta recomendação pode parecer estranha, mas um estudo recente demonstrou que o chiclete sem açúcar ajuda a diminuir a produção de placa em nossos dentes. Basca mascar um chiclete depois das refeições para que os resíduos de alimentos que se encontram alojados em nossos dentes se liberem facilmente; para que posteriormente possamos terminar de retirá-los com a escovação.
Leia também: O que acontece em seu corpo ao mascar chiclete?
Bicarbonato de sódio
Quando for escovar os dentes, acrescente um pouco de bicarbonato de sódio no creme dental (muito pouco). O bicarbonato de sódio dissolve todos os resíduos dos dentes e, além disso, ajuda com o branqueamento dos mesmos de maneira significativa. Portanto, você pode fazer isso uma vez por semana antes de dormir; mas lembre-se de que a quantidade de bicarbonato utilizada não deve ser exagerada, assim como a frequência de sua aplicação.
Leia também: 5 maneiras de usar bicarbonato de sódio e limão na limpeza da casa
Limão
O suco de limão é perfeito para combater a placa e também para tirar o tártaro dos dentes. A acidez do limão contém propriedades abrasivas que limpam nossa boca em profundidade. Além disso, ele também proporciona brilho, elimina o mau hálito e pode branquear os dentes. Basta usá-lo para escovar os dentes uma vez por semana, diminuindo assim a formação de placa bacteriana aos poucos, sem chegar a aplicá-lo exageradamente; já que assim ele poderia causar o efeito contrário ao que queremos em nossos dentes.
Lembre-se!
Como vimos, existem poucos métodos e remédios caseiros para limpar, branquear e evitar doenças que prejudiquem a nossa saúde bucal. O melhor que podemos fazer para ter os dentes saudáveis é programar uma visita ao dentista a cada seis meses. Afinal, não há nada melhor do que uma limpeza profissional para eliminar por completo estas condições tão incômodas e problemáticas; como é o caso da placa bacteriana.
Todas as fontes citadas foram minuciosamente revisadas por nossa equipe para garantir sua qualidade, confiabilidade, atualidade e validade. A bibliografia deste artigo foi considerada confiável e precisa academicamente ou cientificamente.
- Chetruş, V., & Ion, I. R. (2013). Dental plaque–classification, formation and identification. International Journal of Medical Dentistry, 3(2), 139-143. https://www.ijmd.ro/articole/306_306_6%20chetrus.pdf
- PPoyato Ferrera, M. M., Segura-Egea, J. J., Ríos-Santos, J. V., & Bullon, P. (2001). La placa bacteriana: Conceptos básicos para el higienista bucodental. Periodoncia, 11 (2), 149-164. https://idus.us.es/xmlui/handle/11441/39214
- Rosan, B., & Lamont, R. J. (2000). Dental plaque formation. Microbes and infection, 2(13), 1599-1607. https://www.sciencedirect.com/science/article/abs/pii/S1286457900013162
- Touger-Decker, R., & Van Loveren, C. (2003). Sugars and dental caries. The American journal of clinical nutrition, 78(4), 881S-892S. https://academic.oup.com/ajcn/article/78/4/881S/4690063
- Putt, M. S., Milleman, K. R., Ghassemi, A., Vorwerk, L. M., Hooper, W. J., Soparkar, P. M., … & Proskin, H. M. (2008). Enhancement of plaque removal efficacy by tooth brushing with baking soda dentifrices: results of five clinical studies. Journal of Clinical Dentistry, 19(4), 111. https://www.researchgate.net/profile/Mark_Putt/publication/24193167_Enhancement_of_plaque_removal_efficacy_by_tooth_brushing_with_baking_soda_dentifrices_Results_of_five_clinical_studies/links/555b610608ae6aea0816bf4d.pdf
Este texto é fornecido apenas para fins informativos e não substitui a consulta com um profissional. Em caso de dúvida, consulte o seu especialista.










