Atelectasia: sintomas e causas

A palavra atelectasia vem de atele-vs (incompleto) e éktasis (expansão). É um distúrbio no qual uma parte do pulmão fica desprovida de ar e entra em colapso.
Pode ser do pulmão inteiro ou de uma parte (lóbulo). Geralmente, é causada por uma obstrução das vias aéreas ou por pressão na parte externa do pulmão. Por causa dela, os alvéolos desinflam ou se enchem de líquido.
Trata-se de uma complicação comum de certos problemas respiratórios. Pode ocorrer em fibroses císticas, tumores pulmonares, cirurgias torácicas, etc. As atelectasias podem até ocorrer após a inalação de um objeto estranho.
Sintomas da atelectasia

É importante diferenciá-la do pneumotórax. O pneumotórax ocorre quando o ar escapa do pulmão. A atelectasia é a diminuição do ar nos pulmões com perda de volume do pulmão afetado, enquanto o pneumotórax é a presença de ar na pleura.
A atelectasia pode não causar sintomas muito claros. Quando afeta uma pequena parte do pulmão, ou quando se desenvolve lentamente, os sintomas podem ser imperceptíveis. Por outro lado, se afetar um grande número de alvéolos, os sintomas podem ser graves. Isso também acontece quando ela se instaura com rapidez. Os sintomas incluem:
- Dificuldade para respirar.
- Respiração agitada e superficial.
- Tosse.
- Chiado.
- Dor no peito: principalmente quando causada por um trauma ou pneumonia.
- Taquicardia e hipotensão.
- Cianose: devido à hipoxemia. É o resultado da diminuição das trocas gasosas.
Quando a respiração se torna progressivamente mais difícil, é essencial consultar um médico.
Você pode se interessar:Doenças respiratórias do recém-nascido
Causas da atelectasia
A atelectasia, em primeiro lugar, pode ser causada por uma obstrução dos brônquios ou bronquíolos. Também pode ser devido à pressão na parte externa do pulmão.
A anestesia geral é uma causa comum. Isso ocorre porque o ritmo regular da respiração muda. Dessa forma, a troca de gases pulmonares é afetada. Como resultado, a anestesia pode fazer com que os alvéolos se esvaziem. A maioria das pessoas submetidas a grandes cirurgias desenvolve algum grau de atelectasia.
Para mencionar as causas mais comuns de atelectasia, distinguimos entre atelectasia obstrutiva e não obstrutiva.
Causas de atelectasia obstrutiva
- Corpos estranhos: é comum em crianças. Eles tendem a inalar objetos pequenos, como peças de brinquedos.
- Tampão de muco: é um acúmulo de muco nas vias aéreas. Geralmente ocorre em cirurgias, pois dificultam a expulsão de muco porque não é possível tossir. Ocorre também porque muitos medicamentos usados diminuem a profundidade da respiração. Assim, o muco se acumula. Em pessoas com fibrose cística ou asma, os tampões de muco são comuns.
- Tumores: um tumor nas vias aéreas as estreita, facilitando a obstrução.
Causas de atelectasia não obstrutiva
As possíveis causas incluem:
- Lesões: quando ocorrem, a dor reduz a profundidade das respirações. Pode causar compressão dos pulmões.
- Derrame pleural: consiste no acúmulo de líquido entre a pleura pulmonar e o interior da parede torácica.
- Pneumonia.
- Cicatrizes no tecido pulmonar. Lesões, doenças pulmonares ou cirurgia podem causar cicatrizes.
Não deixe de ler:4 remédios caseiros para fortalecer os pulmões
Diagnóstico

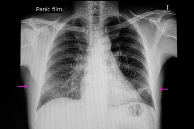
Um exame clínico e a realização de uma radiografia costumam ser suficientes para diagnosticar a atelectasia. Ainda assim, várias técnicas podem ser usadas para confirmar o diagnóstico ou medir a gravidade da doença.
Elas incluem tomografia computadorizada, broncoscopia, ultrassom e oximetria. De fato, a broncoscopia permite observar as obstruções e até eliminar o bloqueio.
Tratamento
O tratamento depende da causa. As atelectasias leves podem desaparecer sem tratamento, mas listamos as principais opções a seguir:
- Remover uma obstrução com broncoscopia.
- Percutir o peito para soltar os tampões de muco.
- Inalação de medicamentos para desobstruir as vias aéreas e diluir o muco.
- Tratar o tumor, se houver um.
- Em alguns casos, a pressão positiva contínua nas vias aéreas (CPAP) pode ser usada. É útil em pessoas que não conseguem tossir e também nas que sofrem de hipoxemia, geralmente após uma cirurgia.
Conclusão
A atelectasia é um distúrbio que pode passar despercebido. No entanto, pode ser um problema sério ou uma consequência de um transtorno subjacente. Portanto, é necessário conhecer suas causas e sintomas para estabelecer o melhor tratamento, se necessário. Em caso de dificuldades respiratórias, é necessário ir ao médico.
Todas as fontes citadas foram minuciosamente revisadas por nossa equipe para garantir sua qualidade, confiabilidade, atualidade e validade. A bibliografia deste artigo foi considerada confiável e precisa academicamente ou cientificamente.
- Duggan, M., & Kavanagh, B. P. (2005). Pulmonary atelectasis: a pathogenic perioperative entity. Anesthesiology, 102(4), 838–54. Retrieved from http://www.ncbi.nlm.nih.gov/pubmed/15791115
- Hedenstierna, G., & Edmark, L. (2010, June). Mechanisms of atelectasis in the perioperative period. Best Practice and Research: Clinical Anaesthesiology. https://doi.org/10.1016/j.bpa.2009.12.002
- Magnusson, L. (2003). New concepts of atelectasis during general anaesthesia. British Journal of Anaesthesia, 91(1), 61–72. https://doi.org/10.1093/bja/aeg085
- Schindler, M. B. (2005). Treatment of atelectasis: Where is the evidence? Critical Care, 9(4), 341–342. https://doi.org/10.1186/cc3766
- Peroni, D. G., & Boner, A. L. (2000). Atelectasis: Mechanisms, diagnosis and management. Paediatric Respiratory Reviews, 1(3), 274–278. https://doi.org/10.1054/prrv.2000.0059
Este texto é fornecido apenas para fins informativos e não substitui a consulta com um profissional. Em caso de dúvida, consulte o seu especialista.







