O que é adenoma hipofisário?


Revisado e aprovado por o médico Diego Pereira
O adenoma hipofisário é um tumor benigno de crescimento lento. Origina-se nas células que formam a glândula pituitária. Esta glândula regula a função de outras glândulas no corpo, e é por isso que é tão importante.
O adenoma hipofisário é relativamente comum e se manifesta com uma frequência aproximada de 1 em cada 1000 adultos. Em geral, é um tumor benigno e de crescimento lento. Por outro lado, os carcinomas hipofisários ou tumores malignos são muito incomuns.
Não há distinção em termos de sexo, eles afetam por igual homens e mulheres. Em relação à idade, há uma maior incidência entre os 30 e 40 anos.
As causas reais do adenoma hipofisário são desconhecidas, embora em alguns casos esteja relacionado a uma doença genética chamada Síndrome da Neoplasia Endócrina Múltipla.
Os sintomas do adenoma hipofisário

O principal sintoma que resulta desses tumores é a alteração na secreção de hormônios. Dependendo da incidência do tumor na hipófise, eles podem produzir excessiva quantidade de um ou mais hormônios.
Devido à alteração no sistema endócrino, os sintomas podem ser:
- Hipertireoidismo: a glândula tireoide produz quantidades excessivas de hormônios; este sintoma é bastante incomum naqueles afetados por um adenoma hipofisário.
- Síndrome de Cushing: o nível do hormônio cortisol é maior que o normal.
- Acromegalia: no caso de um nível elevado de hormônio do crescimento em crianças, ocorrerá gigantismo. No caso em que isso ocorra em um adulto, fala-se de acromegalia.
- Secreção e produção de leite em homens e mulheres.
- Períodos menstruais irregulares nas mulheres, devido à alteração dos hormônios sexuais.
Por outro lado, os sintomas que ocorrem quando há compressão de estruturas cerebrais devido a um tumor hipofisário grande podem incluir:
- Alterações visuais, como visão dupla, perda de campo visual, pálpebras caídas, ou alterações na visão das cores.
- Dor de cabeça.
- Fadiga e sonolência.
- Fluxo nasal de líquido transparente.
- Náusea e vômito.
- Problemas com o sentido do olfato
Quando esses sintomas se manifestam de forma súbita e simultaneamente, podem ser graves. Além disso, podem causar um infarto da hipófise.
Não deixe de ler ademais: 5 dicas para reduzir o desconforto do hipotireoidismo durante a gravidez
Tipos de adenomas
Os adenomas hipofisários podem ser classificados de acordo com o tamanho, da seguinte forma:
- Microadenomas: menores de 1 cm.
- Macroadenomas: maiores que 1 cm. Este tipo de adenoma provoca em um ou mais hormônios hipofisários um alto percentual deficitário.
Além disso, podem ser classificadas de acordo com a possibilidade de secretarem hormônios ou não. Seguindo este critério podem ser funcionais, se secretarem hormônios por si mesmos, e adenomas não funcionais, se não secretarem hormônios.
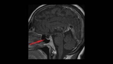
Diagnóstico do adenoma hipofisário

Primeiramente, para o diagnóstico é necessário realizar um exame físico, no qual é analisado qualquer problema de visão dupla e campo visual. Além disso, também são estudadas a perda da visão lateral ou periférica, e a capacidade de ver em certas áreas.
Assim, é realizada uma análise da função endócrina para procurar por quaisquer sinais de excesso ou irregularidade hormonal. Os parâmetros são medidos como níveis elevados de cortisol, síndrome de Cushing, ou excesso de hormônio de crescimento.
Por outro lado, os exames mais relevantes que ajudam a confirmar o diagnóstico são o de campo visual e a tomografia computadorizada (TC) e cerebral (RNM).
Leia também: 9 sintomas de desequilíbrio hormonal que prejudicam nossa aparência física
Tratamento do adenoma hipofisário
As opções terapêuticas atuais incluem:
- Tratamento farmacológico e substituição hormonal: os medicamentos que bloqueiam a secreção hormonal podem controlar os sintomas, e até reduzir o tamanho do tumor.
- Técnicas radioterápicas: são frequentemente usadas para reduzir o tamanho do tumor.
- Cirurgia do adenoma hipofisário: a remoção da maioria desses tumores é através da cavidade nasal. No entanto, em outros casos, é necessária uma craniotomia ou abertura do crânio.
A cirurgia nasal endoscópica consiste na introdução através das fossas nasais de um endoscópio, que desliza entre o corneto médio e o septo nasal, até que o orifício esfenoidal esteja localizado. Este orifício é aumentado para obter uma abertura suficiente do seio esfenoidal, e visualizar o solo da sela turca para extrair o tumor.
Em conclusão, a complicação mais séria é a cegueira, caso seja severamente danificado o nervo óptico. Além disso, o tumor ou sua remoção pode causar desequilíbrios hormonais para a vida toda e causar diabetes insípida. Este tipo de diabetes é caracterizado pelos sintomas de micção frequente e sede extrema.
Todas as fontes citadas foram minuciosamente revisadas por nossa equipe para garantir sua qualidade, confiabilidade, atualidade e validade. A bibliografia deste artigo foi considerada confiável e precisa academicamente ou cientificamente.
-
Jaime, M. de, López, F., & Cabrera, G. (2003). Patología de los adenomas hipofisarios. Patología.
-
Betanzos, R. R., Gerardo, E., Pérez, D., Apolonia, S., Montaño, A., Sánchez, V., … Mendoza, C. (2009). Artículo de revisión Acromegalia. Mcm.
-
CARNEIRO, C. C., MENDES, B. B., & BASTOS, L. G. (2015). ADENOMA HIPOFISÁRIO: CORRELAÇÃO CLÍNICA, LABORATORIAL E RADIOLÓGICA. REVISTA DA UNIVERSIDADE VALE DO RIO VERDE. https://doi.org/10.5892/ruvrd.v13i1.1979
Este texto é fornecido apenas para fins informativos e não substitui a consulta com um profissional. Em caso de dúvida, consulte o seu especialista.







