Como curar aftas e feridas na boca?

Podem ser muito pequenas, porém muito incômodas. Doem, incomodam e estão em um lugar bastante úmido e não se curam de um dia para o outro. É por isso que necessitamos de um bom remédio caseiro para eliminar as aftas e feridas o mais rápido possível.
Causas das aftas e feridas
As aftas são feridas que aparecem com muita frequência, porém a verdade é que não se sabe com precisão a causa. Os especialistas ainda não puderam determinar com exatidão porque estas pequenas úlceras aparecem na boca. O que se sabe é que as aftas e feridas afetam 20% da população. Causam dor e incômodo tanto para falar quanto para comer.
Elas podem ser de dois tipos: simples ou complexas. As primeiras aparecem algumas vezes por ano e duram uma semana aproximadamente, em pessoas entre 10 e 20 anos de idade. As complexas são menos frequentes e somente as sofrem quem já teve algum tipo de úlcera bucal antes.
As feridas na boca aparecem por causas diversas. Alguns fatores desencadeantes são: estresse, ingestão de alimentos ácidos ou cítricos, lesões por algum alimentos ou utensílio, sistema imunológico debilitado, problemas nutricionais ou uma doença gastrointestinal. Os objetos afiados e a ortodontia também podem causar feridas.
Temos que prestar atenção nas aftas e na herpes, que podem ser iguais em relação à aparência, mas não em relação à doença. O herpes labial é causado por um vírus simples e é contagioso, as aftas não. O primeiro pode aparecer em outros lugares do rosto, como os lábios, nariz e debaixo do queixo.
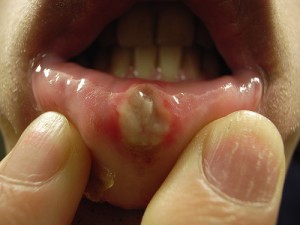
Para saber se você apresenta uma úlcera bucal ,os sintomas são: ardor, sensação de formigamento doloroso, feridas redondas brancas ou cinzas com avermelhamento nas bordas. Também pode aparecer febre, inflamação de gânglios linfáticos, etc.
O lado positivo das aftas e feridas é que elas desaparecem quase sempre sozinhas. A dor pode ser incômoda, mas o importante é não colocar a língua nem os dentes no local, por mais que seja uma “tentação”. Entre sete e dez dias elas serão apenas uma má lembrança.
Leia também: Alivie as aftas usando estes 6 remédios de origem natural
Remédios naturais para as aftas e feridas
- Sal: é um dos antissépticos mais baratos e efetivos que existem. É um grande aliado para curar as feridas naturalmente. Misture uma colher de sal em um copo de água morna e enxágue a boca com a mistura, dando ênfase na área onde a ferida está localizada. Cuspa a água e repita o processo ao menos três vezes ao dia. Pouco a pouco a dor e o incômodo vão diminuindo. Outras pessoas optam por pegar um grão de sal grosso e esfregá-lo na ferida. O problema deste processo é que gera mais dor e irritação, por isso não é recomendado.
- Bicarbonato de sódio: funciona da mesma maneira que o sal, como um antisséptico eficaz nestes casos. Misture o bicarbonato em meio copo de água e enxágue a boca, fazendo “bochechos” sem engolir o líquido. Você também pode fazer uma pasta com um pouco de água e aplicar na ferida, deixando por alguns instantes para que faça efeito. Depois enxágue com água fria sem esfregar.
- Água oxigenada: outro remédio infalível para as aftas e feridas na boca. Pegue um algodão e submerja-o em água oxigenada. Aplique diretamente sobre a lesão três vezes ao dia. O processo acalmará as dores e ajudará a prevenir as possíveis infecções.
- Enxaguante bucal: é um remédio não tão “natural”, mas pode servir bastante para reduzir os incômodos na boca, um alívio imediato que controlará a formação de bactérias. Mas não coloque muito enxaguante, principalmente se ele for muito forte, pois é provável que você sentirá a ferida arder.
- Gelo: a propriedade de um cubo de gelo é curar as feridas pouco a pouco e também reduzir a inflamação e a dor. Atua como um sedativo. Coloque um cubinho de gelo quantas vezes considerar necessário durante o dia.
- Iogurte: graças ao ácido do leite e as bactérias que contém, o iogurte ajudará a mudar a composição do pH da boca e controlará a formação de novas bactérias. Consuma um iogurte diariamente, principalmente se você sofrer com as aftas e feridas frequentemente. Você também pode aplicar o iogurte diretamente na ferida.
- Leite de magnésia: apresenta um efeito similar ao do iogurte. Use três vezes ao dia para mudar o pH da boca e fazer “frente” às bactérias que possam causar as úlceras.
Conselhos para evitar a formação das aftas e feridas
A deficiência de minerais ou vitaminas causam úlceras bucais. Por isso é melhor inclui-los em sua dieta. Outras condições que também podem produzir feridas incluem a anemia por deficiência de ferro, ácido fólico, doença de Crohn etc.
Portanto, não tenha dúvida em adicionar ao seu plano alimentar alimentos que o contenham, como as verduras de folha verde, os cereais integrais, o leite, entre outros.
Tenha cuidado quando for escovar os dentes, pois pode causar feridas similares às aftas ou irritações. O mesmo pode acontecer quando comemos algum alimento com “ponta”, como biscoitos, pães, torradas, etc. Evite os alimentos ácidos ou picantes, a goma de mascar e não se esqueça de usar o fio dental depois de cada refeição para manter a boca sempre limpa e saudável.
Imagens cortesia de Toshiyuki IMAI, the italian voice, Joshua Yoon Her Nandez, Emilian Robert Vicol, gaelx.
Este texto é fornecido apenas para fins informativos e não substitui a consulta com um profissional. Em caso de dúvida, consulte o seu especialista.











