Diagnóstico de tumores e cistos mandibulares


Revisado e aprovado por o biotecnólogo Alejandro Duarte
Os tumores e cistos mandibulares são tumores ou lesões que se formam na mandíbula ou nos tecidos moles da boca e da face. Um tumor é um crescimento anormal ou massa de tecido. Um cisto é uma lesão que contém material líquido ou semissólido.
Em alguns casos, os cistos e tumores mandibulares são chamados de cistos odontogênicos, e podem variar muito em tamanho e gravidade. Eles costumam ser benignos, mas podem ser agressivos e invadir os ossos e tecidos circundantes, bem como os dentes.
As opções de tratamento para os tumores e cistos mandibulares variam de acordo com o tipo de crescimento e lesão, o estágio de crescimento e os sintomas. Cirurgiões da boca, mandíbula e face podem tratar o tumor ou cisto por cirurgia, terapia medicamentosa ou combinando ambos.
Tipos de tumores e cistos mandibulares
Existem muitos tipos de tumores e cistos mandibulares; alguns deles são:
Ameloblastoma

É um tumor relativamente comum, de crescimento lento e geralmente não canceroso. Na maioria das vezes ocorre na mandíbula, na área próxima aos molares. Pode invadir estruturas locais, como ossos e tecidos moles.
Este tumor pode se reproduzir após o tratamento. No entanto, se for utilizado algum tratamento cirúrgico mais agressivo, a possibilidade de recorrência é menor.
Leia também: 5 causas para as pontadas na cabeça
Granuloma central de células gigantes
O granuloma central é uma lesão benigna que geralmente está localizada na frente da mandíbula. Alguns desses tumores crescem muito rápido e, além de causar dor, podem destruir os ossos.
Os granulomas centrais são caracterizados por sua tendência a se repetir após o tratamento cirúrgico.
Cisto dentígero

Este cisto se origina do tecido ao redor dos dentes antes de esses surgirem na boca. Afeta os maxilares com mais frequência. Eles geralmente ocorrem em torno dos dentes do siso que ainda não saíram, embora também possam afetar outros dentes.
Ceratocisto odontogênico
Também é conhecido como tumor odontogênico queratocístico, devido à sua tendência a se repetir após o tratamento cirúrgico. É um cisto benigno que cresce lentamente, mas pode ser destrutivo para as estruturas locais.
Geralmente, ele se desenvolve na mandíbula inferior, próximo aos terceiros molares. Esses cistos também podem ocorrer em pessoas com uma condição hereditária chamada síndrome do carcinoma basocelular nevoide.
Mixoma odontogênico
O mixoma é outro tumor benigno, de crescimento lento e raro que geralmente se desenvolve na mandíbula inferior. Pode ser grande e invadir agressivamente a mandíbula, o tecido circundante, e pode até deslocar os dentes.
Eles também são suscetíveis à recorrência após o tratamento cirúrgico.
Odontoma
É o tumor odontogênico mais comum. Os odontomas geralmente não desencadeiam sintomas, mas podem interferir no desenvolvimento dos dentes.
Esses tipos de tumores são compostos por tecido dental que se forma em torno de um dente na mandíbula. Eles podem parecer dentes e também podem ser pequenos ou grandes tumores calcificados.
Causas dos tumores e cistos mandibulares

Os cistos e tumores maxilares odontogênicos são originários de células e tecidos envolvidos no desenvolvimento normal dos dentes. Outros cistos e tumores mandibulares podem não ser odontogênicos, pois se desenvolvem a partir de outros tecidos maxilares não relacionados a outros dentes.
A causa dos cistos e tumores mandibulares costuma ser desconhecida. No entanto, alguns deles estão associados a síndromes genéticas. Pessoas com síndrome do carcinoma basocelular nevoide, também conhecida como síndrome de Gorlin, não possuem um gene que suprime os tumores.
A mutação genética que causa a síndrome é herdada e provoca o desenvolvimento de múltiplos queratocistos odontogênicos nas mandíbulas, e diferentes tipos de câncer de pele de células basais.
Quer saber mais? Não espere para ir ao dentista!
Diagnóstico de tumores e cistos mandibulares
Na maioria das vezes, os tumores e cistos não provocam sintomas e a descoberta é acidental. No entanto, em alguns casos, podem surgir sintomas como dor nos dentes, inflamação, dor local e abaulamento da gengiva.
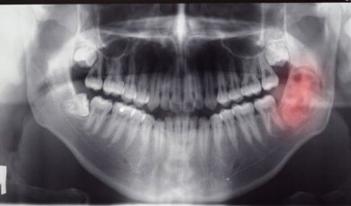
Para obter o máximo de informações sobre possíveis tumores e cistos mandibulares, serão solicitados exames de diagnóstico, como radiografias, ressonâncias ou ortopantomografia.
Além disso, uma biópsia pode ser realizada para remover uma amostra das células do tumor ou cisto para análise. Com essas informações, o médico vai propor o tratamento apropriado para tratar o tumor ou cisto da maneira mais eficaz possível.
Todas as fontes citadas foram minuciosamente revisadas por nossa equipe para garantir sua qualidade, confiabilidade, atualidade e validade. A bibliografia deste artigo foi considerada confiável e precisa academicamente ou cientificamente.
- Butler, F. S., & Harrigan, W. F. (1954). Ameloblastoma. The American Journal of Surgery. https://doi.org/10.1016/0002-9610(54)90435-3
- Chrcanovic, B. R., López Alvarenga, R., & Freire-Maia, B. (2011). Quiste óseo simple: Reporte de un caso y revisión de la literatura. Avances En Odontoestomatología. https://doi.org/10.4321/s0213-12852011000400005
- Radich Michea, A. (2003). Quiste Odontogénico calcificante asociado a Odontoma Fibrodontoma ameloblástico ¿ Versatilidad diagnóstica? Informe de caso clínico con seguimiento a siete años sin recidiva. Revista de La Facultad de Odontología Universidad de Valparaíso.
Este texto é fornecido apenas para fins informativos e não substitui a consulta com um profissional. Em caso de dúvida, consulte o seu especialista.







