O que é a doença de Marchiafava-Bignami? Sintomas, causas e tratamentos


Revisado e aprovado por a médica Mariel Mendoza
A doença de Marchiafava-Bignami é uma patologia rara, na qual ocorre erosão do corpo caloso. Ocorre com mais frequência em homens com transtorno por uso de álcool, mas também em pessoas com desnutrição grave.
Os sintomas que podem se manifestar incluem convulsões, fala arrastada, depressão, apatia e agressividade. O tratamento inclui administração intravenosa ou oral de tiamina, ácido fólico e vitaminas do complexo B, bem como corticosteroides.
O que é a doença de Marchiafava-Bignami?
Essa patologia deve seu nome aos médicos italianos Ettore Marchiafava e Amico Bignami, que a descreveram em 1903. Além disso, esses patologistas são reconhecidos por terem estudado e identificado o parasita transmissor da malária.
A doença de Marchiafava-Bignami (abreviada como MBD) é rara. Um estudo de 2001 refere-se a um total de 250 casos relatados de homens de várias nacionalidades.
Muitos deles com transtorno de uso de álcool.
Caracteriza-se por desmielinização, bem como eventual necrose, do corpo caloso. O que significa isto? O corpo caloso é uma estrutura localizada no cérebro que conecta os dois hemisférios, ajudando ambos a trabalharem de forma coordenada.
Por seu lado, a mielina é uma camada isolante, composta por proteínas e gorduras. Funciona como uma bainha, que cobre e isola os nervos. Além dessa função, a mielina contribui para a transmissão de impulsos elétricos.

Sintomas da doença de Marchiafava-Bignami
O início e o grau dos sintomas da doença de Marchiafava-Bignami variam de caso para caso, dependendo se é aguda, subaguda ou crônica. Alguns estão relacionados ao funcionamento psicológico e outros são neurológicos:
- Ataxia.
- Apraxia.
- Depressão.
- Disartria.
- Hemiparesia.
- Agressividade.
- Convulsões.
- Alucinações visuais e auditivas.
- Espasticidade e distúrbios da marcha.
- Estado de confusão, demência e paranóia.
O inchaço do corpo caloso também pode ser observado nas imagens do cérebro. Em alguns casos, sinais de síndrome de desconexão inter-hemisférica estão presentes.
Veja: Doença pulmonar obstrutiva crônica e álcool: existe relação?
Causas e fatores de risco
A doença é mais comum em pacientes com transtorno por uso de álcool. Embora sua etiologia não esteja totalmente esclarecida, pois também ocorre em pessoas não alcoolistas.
Nesse sentido, algumas pesquisas indicam que pode ocorrer em pacientes que sofrem de desnutrição crônica. Nesse sentido, acredita-se que estaria relacionado a uma deficiência de vitaminas do complexo B.
Outras possíveis causas mencionadas são as seguintes:
- Doença falciforme e malária cerebral.
- Complicação da cetoacidose no diabetes mellitus.
- Desnutrição após cirurgia de bypass gástrico.
- Cirurgia de Carcinoma Cardíaco.
A idade média dos casos diagnosticados é de 45 anos.
Por outro lado, a doença de Marchiafava-Bignami é mais comum em homens. Possivelmente, porque o consumo de álcool é maior neles, segundo as estatísticas.
Veja: Beber álcool durante a gravidez pode mudar a forma do cérebro dos bebês, segundo estudo
Como é o diagnóstico?
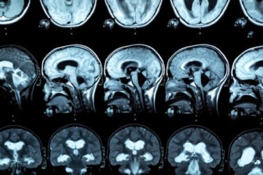
Para o diagnóstico desta patologia , é realizada uma ressonância magnética, para que possam ser observadas as lesões no corpo caloso. Nesse sentido, pesquisas indicam que pessoas com transtorno por uso de álcool apresentam redução da espessura anterior, média e posterior do corpo caloso, bem como variações no tamanho do lobo frontal e dos sulcos corticais.
No geral, o histórico do paciente é analisado e são realizados exames físicos e psicológicos detalhados:
- Função neurológica, usando algumas escalas (MOHS e mRS).
- Função cognitiva (com testes como Montreal ou MoCA).
- Consciência alterada (escala de coma de Glasgow).
- Consumo de álcool (MAST-C).
Testes laboratoriais gerais, como hemograma completo, eletrólitos, glicose, transaminases, bilirrubina e painel de sorologia do líquido cefalorraquidiano, são recomendados. Este último, para verificar se há infecções do sistema nervoso central.
Tratamento da doença de Marchiafava-Bignami
No tratamento da doença de Marchiafava-Bignami são incluídos suplementos vitamínicos de tiamina, folatos e outros do grupo B. Estes podem ser administrados por via intravenosa ou oral. A dosagem varia em cada caso e vai depender da indicação do médico.
Claro, é necessário interromper a ingestão de álcool. Mas como isso pode desencadear sintomas de abstinência, pode ser necessária medicação adicional ou até internação hospitalar.

Possíveis complicações
Vários estudos indicam que os pacientes apresentaram melhora significativa após a administração de polivitamínicos e corticosteróides. Embora no caso de pessoas diabéticas também seja necessária a estabilização e normalização da glicose plasmática.
No entanto, na fase aguda, áreas danificadas do corpo caloso podem apresentar alterações edematosas citotóxicas. Também há potencial para lesões em outras partes do cérebro, como os lobos cerebrais, a substância branca hemisférica e os gânglios da base.
Em pacientes não tratados, assim como naqueles que não respondem ao tratamento, a desmielinização e a necrose podem se tornar permanentes. A transformação cística também pode ocorrer.
Não é incomum que ocorram outros danos associados ao álcool ou à deficiência alimentar:
- Metabolismo lipídico anormal.
- Condições gastrointestinais.
- Alterações metabólicas.
- Hipovitaminose.
- Lesão hepática.
Da mesma forma, quando o corpo caloso é afetado, a conexão entre os dois hemisférios falha, o que se traduz em problemas cognitivos, sensoriais e motores. Finalmente, há pacientes que podem entrar em coma.
Embora alguns possam se recuperar por conta própria, outros podem morrer. A taxa de mortalidade é de 20%.
Prognóstico
Como a gravidade dessa doença é variável, o prognóstico é incerto. Mesmo apresentando sintomas, uma pessoa pode sobreviver por anos, até se recuperar ou, ao contrário, piorar até a morte.
As chances de recuperação do paciente são maiores quanto mais precoce for o diagnóstico e mais à risca o tratamento for cumprido. Isso inclui a cessação da ingestão de álcool.
Todas as fontes citadas foram minuciosamente revisadas por nossa equipe para garantir sua qualidade, confiabilidade, atualidade e validade. A bibliografia deste artigo foi considerada confiável e precisa academicamente ou cientificamente.
- Bachar M, Fatakhov E, Banerjee C, Todnem N. Rapidly resolving nonalcoholic Marchiafava-Bignami disease in the setting of malnourishment after gastric bypass surgery. J Investig Med High Impact Case Rep. 2018; 6: doi.org/10.1177/2324709618784318.
- Boutboul D, Lidove O, Aguilar C, Klein I, Papo T. Marchiafava-Bignami disease complicating SC hemoglobin disease and Plasmodium falciparum infection. Presse Med. 2010; 39(9): 990-993.
- Carrilho P, Santos M, Piasecki L, Jorge A. Marchiafava-Bignami disease: a rare entity with a poor outcome. Rev Bras Ter Intensiva. 2013; 25(1): 68-72.
- Ceylan-Isik A, McBride S, Ren J. Sex difference in alcoholism: who is at a greater risk for development of alcoholic complication? Life Sci. 2010; 87(5-6): 133-138.
- Estruch R, Nicolás J, Salamero M, Aragón C, et al. Atrophy of the corpus callosum in chronic alcoholism. J Neurol Sci. 1997; 146(2): 145-151.
- Helenius J, Tatlisumak T, Soinne L, Valanne L, Kaste M. Marchiafava-Bignami disease: two cases with favourable outcome. Eur J Neurol. 2001; 8(3): 269-272.
- Hillbom M, Saloheimo P, Fujioka S, Wszolek ZK, Juvela S, Leone MA. Diagnosis and management of Marchiafava-Bignami disease: a review of CT/MRI confirmed cases. J Neurol Neurosurg Psychiatry. 2014; 85(2): 168-173.
- Suzuki Y, Oishi M, Ogawa K, Kamei S. A patient with Marchiafava-Bignami disease as a complication of diabetes mellitus treated effectively with corticosteroid. J Clin Neurosci. 2012; 19(5): 761-762.
- Tian T, Pescador M, Park S, et al. Marchiafava Bignami Disease. In: StatPearls. Treasure Island (FL): StatPearls Publishing; 2022 Jan. Disponible: https://www.ncbi.nlm.nih.gov/books/NBK526007/
- Ventura R. El síndrome de desconexión interhemisférica cerebral. Revista de psiquiatria y salud mental. 2003; IV(2): 29-42.
- Yadala S, Luo J. Marchiafava-Bignami disease in a nonalcoholic diabetic patient. Case Rep Neurol Med. 2013: https://doi.org/10.1155/2013/979383.
Este texto é fornecido apenas para fins informativos e não substitui a consulta com um profissional. Em caso de dúvida, consulte o seu especialista.







