Nódulo pulmonar, o que isso significa?

Um nódulo pulmonar é uma massa que aparece no pulmão que pode medir entre cinco e trinta milímetros. É uma patologia cada vez mais frequente, estimada em cerca de 0,2% da população. No entanto, quase 60% desses nódulos são benignos.
As causas desta doença são variadas, de uma infecção a um processo tumoral. A maioria deles é encontrada acidentalmente ao realizar uma tomografia computadorizada – tomografia axial computadorizada – ou um raio-x.
Entretanto, é importante diagnosticar essa situação o mais cedo possível para evitar complicações e descartar que seja algo mais sério. Portanto, neste artigo, explicamos tudo o que você precisa saber sobre o nódulo pulmonar e quais sintomas ele produz.
Quais são as causas de um nódulo pulmonar?
Como já mencionamos, um nódulo pulmonar é uma massa que aparece no pulmão. Portanto, suas causas podem ser muito variadas. Na maioria das vezes esses nódulos são secundários a uma infecção, seja por bactérias, fungos ou parasitas.
Entre as causas infecciosas, deve-se notar que os nódulos pulmonares são comuns em pessoas afetadas pela tuberculose. Embora a incidência esteja diminuindo, ainda é uma infecção com relativa frequência.
Causa neoplásica
Atualmente, a primeira coisa a se descartar antes de um nódulo pulmonar é que seja um processo carcinogênico. Isso ocorre porque o câncer de pulmão é um dos mais frequentes devido, entre outras coisas, ao tabagismo.
Não deixe de ler: Os riscos do tabagismo para sua saúde
Nestes casos, o nódulo geralmente apresenta uma aparência irregular na radiografia, com bordas mal definidas. Seu tamanho geralmente também é menor que os benignos e, além disso, está associado a certos fatores de risco, como:
- Ser fumante.
- Ter mais de 35 anos.
- Ter tido algum tipo de câncer anteriormente.
- Que o nódulo pulmonar tenha crescido rapidamente nos últimos meses.
No entanto, é importante saber que nem todos os nódulos pulmonares neoplásicos são malignos. Existem também certos tumores benignos, embora a verdade seja que eles são muito menos frequentes que os anteriores.

Outras causas do nódulo pulmonar
Existem outras doenças que podem resultar neste distúrbio pulmonar. Por exemplo, existem certos processos autoimunes, como a granulomatose de Wegener ou o nódulo reumatoide. Ambos são incomuns.
Da mesma forma, em algumas pessoas o nódulo pulmonar pode aparecer devido a trauma, uma doença metabólica chamada amiloidose ou após a gênese de um cisto brônquico.
Como é diagnosticado o nódulo pulmonar?
Para diagnosticar o nódulo pulmonar e conhecer sua causa, é essencial primeiro fazer um bom histórico médico dessa pessoa. É importante saber se houve tuberculose ou exposição a certas infecções ou pessoas infectadas.
Também é importante saber se é fumante ou não. Numerosos estudos demonstraram que grande parte dos nódulos cancerígenos estão relacionados ao tabaco.
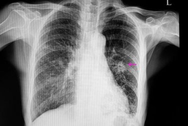
Feito isso, é necessário realizar determinados testes de imagem para localizar o nódulo. Além disso, as imagens nos permitem observar certas características, como forma e tamanho, que são importantes para diferenciar um benigno de um possivelmente maligno.
Os mais utilizados são radiografia de tórax e tomografia computadorizada. Para saber exatamente a causa do nódulo pulmonar, algumas vezes são realizadas biópsias que permitem a análise do tecido que o forma.

Leia também: Um medicamento para diminuir a quimioterapia no pulmão
Qual é o tratamento indicado para o nódulo pulmonar?
O tratamento dependerá da causa do nódulo. Em primeiro lugar, quando for devido a um processo infeccioso, pode não ser necessário tratamento mas que sejam receitados antibióticos ou antifúngicos para interromper a infecção.
Quando a causa não é conhecida claramente, o tratamento é orientado de acordo com o risco de câncer. Por exemplo, em jovens não fumantes, cujo nódulo não parece maligno, pode ser necessário controlar o nódulo pulmonar apenas periodicamente. Assim, será possível comprovar se ele muda ou cresce.
Por outro lado, se houver risco de câncer, o mais importante é realizar a biópsia. Se for realmente cancerígeno, pode ser necessária cirurgia para removê-lo. Quando a cirurgia é inviável, a opção é a quimioterapia ou radioterapia.
Para concluir, é essencial destacar novamente a influência negativa do tabaco. Devemos estar cientes do risco envolvido e fazer exames médicos frequentes para diagnosticar esse tipo de patologia o mais cedo possível.
Todas as fontes citadas foram minuciosamente revisadas por nossa equipe para garantir sua qualidade, confiabilidade, atualidade e validade. A bibliografia deste artigo foi considerada confiável e precisa academicamente ou cientificamente.
- Un nódulo pulmonar solitario | Medicina Integral. (n.d.). Retrieved December 24, 2019, from https://www.elsevier.es/es-revista-medicina-integral-63-articulo-un-nodulo-pulmonar-solitario-13046283
- Nódulos pulmonares: ¿Pueden ser cancerosos? Mayo Clinic. https://www.mayoclinic.org/es-es/diseases-conditions/lung-cancer/expert-answers/lung-nodules/faq-20058445#:~:text=Los%20n%C3%B3dulos%20pulmonares%20no%20cancerosos%20generalmente%20no%20requieren%20tratamiento.,o%20cambia%20con%20el%20tiempo.
- Prevención del cáncer de pulmón (PDQ®)–Versión para profesionales de salud. Instituto Nacional del Cáncer. https://www.cancer.gov/espanol/tipos/pulmon/pro/prevencion-pulmon-pdq
Este texto é fornecido apenas para fins informativos e não substitui a consulta com um profissional. Em caso de dúvida, consulte o seu especialista.







