Características da acne cística


Escrito e verificado por médico Leonardo Biolatto
A acne é um distúrbio comum na população, afetando cerca de 80% das pessoas com idade entre 11 e 30 anos. No entanto, nem todas a sofrem com a mesma intensidade. Hoje, falaremos especificamente sobre as características da acne cística, um dos tipos de apresentação mais intensos.
A distribuição etária da acne é clara, afetando os mais jovens. Embora até trinta anos sua prevalência seja relativamente alta, a maioria dos casos ocorre antes dos vinte anos de idade. Entre as variedades de apresentação da acne, temos a acne cística.
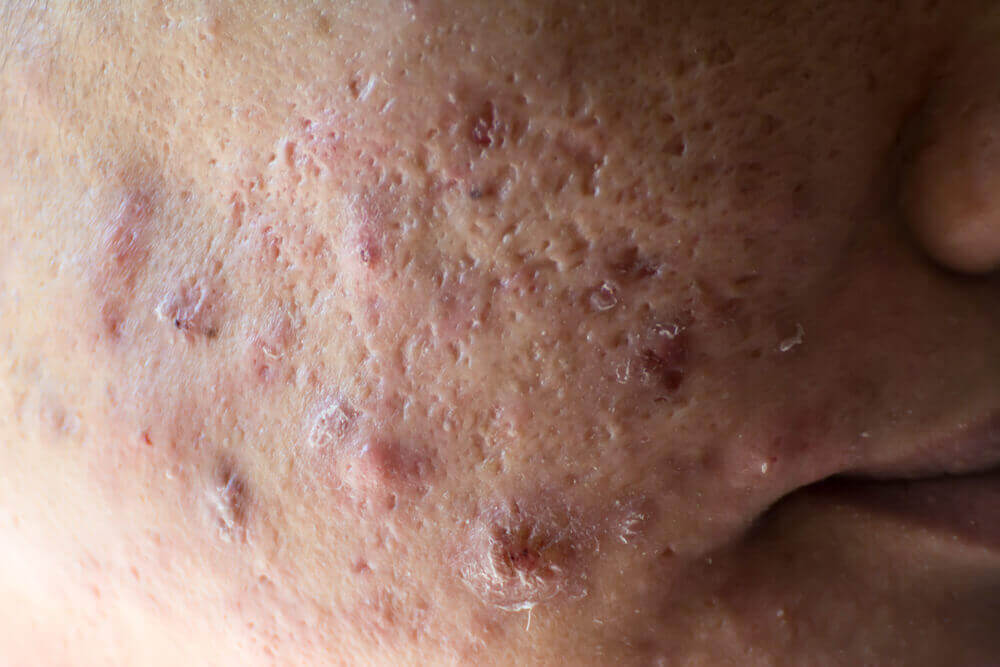
Como antecipamos, é uma forma agressiva com lesões muito mais visíveis do que a acne comum. A acne cística é diagnosticada quando há saliências inflamatórias na pele em vez de pequenos pontos pretos. Esses caroços doem e, devido à inflamação, colorem a pele de vermelho.
O local preferido da acne cística é o rosto. Ela provoca deformações nas características faciais, afetando o psicológico de quem sofre com ela. Além disso, evolui com cicatrizes, ao contrário da acne comum.
Embora a face seja o local mais usual de apresentação, também há casos de acne cística no tronco. As lesões aparecem com menos frequência nos membros superiores.
Causas da acne cística
A acne cística surge pelo mesmo mecanismo da acne comum. Ou seja, as glândulas sebáceas da pele ficam obstruídas e não conseguem remover seu conteúdo para o exterior. A função das glândulas sebáceas é lubrificar a pele com a produção de óleo e umedecê-la.
Se os dutos que expelem a gordura para fora estão obstruídos, as bactérias se acumulam dentro da glândula. O que determina a agressividade da acne cística é a característica da bactéria que se aninha nos poros. Nesse caso, os microrganismos são os geradores da inflamação.
A acne cística também tem sido associada aos hormônios. Um papel importante é desempenhado pela testosterona e, portanto, os homens são mais afetados do que as mulheres.
Nas mulheres, observou-se que os ciclos menstruais modificam a evolução da acne cística. É por esse motivo que aquelas com síndrome dos ovários policísticos estão mais expostas.
Sabe-se que mulheres com síndrome dos ovários policísticos tendem a ser obesas. Na obesidade, há mais tecido adiposo, que tem a capacidade de converter os hormônios femininos em testosterona. O aumento da testosterona nessas mulheres explicaria sua associação com a acne cística.

Continue lendo: Remoção dos ovários
Características e níveis de apresentação da acne cística
A acne cística nem sempre apresenta os mesmos sintomas. Ela pode ocorrer em três graus diferentes:
- Leve: nesta forma, até cinco nódulos inflamatórios são contados na pele afetada. Também pode haver até cinco cistos. É uma forma agressiva, mas bastante controlável pelo médico. Geralmente, não requer mais do que um tratamento local com cremes e cuidados gerais.
- Moderada: a acne cística é moderada com mais de dez lesões nodulares purulentas, mas menos de vinte. É uma forma que já requer o uso de medicamentos orais. Existe um alto risco de deixar cicatrizes no futuro.
- Grave: é a forma mais agressiva de todas, apresentando mais de vinte lesões por todo o corpo. Os nódulos geralmente ficam inchados e secretam pus. A pessoa afetada sente dor sob pressão e também espontaneamente. É uma variedade que responde mal aos tratamentos e pode até exigir injeções locais de anti-inflamatórios. Às vezes, se o pus for excessivo em quantidade, ele deve ser drenado com um procedimento cirúrgico.

Leia também: Dieta para controlar a acne: que alimentos devo evitar?
Opções de tratamento
Diferentemente da acne cística leve, que pode ser tratada com cremes, o restante das apresentações clínicas requer medicamentos orais ou injetáveis. O profissional de saúde determinará a melhor opção em cada caso.
- A primeira etapa do tratamento são os antibióticos. Eles tentam destruir as bactérias que se alojaram nas glândulas sebáceas da pele. São tratamentos que duram meses, até um ano.
- A segunda etapa do tratamento é a espironolactona. Esse medicamento é indicado para mulheres com a doença, principalmente aquelas com síndrome dos ovários policísticos. A espironolactona reduz a produção de testosterona pelas células de gordura.
- Por fim, a droga mais eficaz, mas restrita a casos particulares, é a isotretinoína. É consumida por via oral e, quando eficaz, reduz a inflamação ao liberar os dutos obstruídos das glândulas sebáceas. O problema da isotretinoína são seus graves efeitos adversos. Só pode ser indicada por um médico especialista que efetue controles regulares. Nas mulheres que o consomem, é fundamental que a gravidez não ocorra durante o tratamento, pois ela provoca alterações fetais.
Se você sabe que sofre de acne cística ou está em dúvida após conhecer as suas características, é fundamental consultar um médico ou dermatologista. Seu grau de afetação será determinado, estabelecendo o tratamento adequado. É muito importante que você não inicie tratamentos por conta própria, pois eles podem piorar a condição em vez de aliviá-la.
Todas as fontes citadas foram minuciosamente revisadas por nossa equipe para garantir sua qualidade, confiabilidade, atualidade e validade. A bibliografia deste artigo foi considerada confiável e precisa academicamente ou cientificamente.
- Norris-Squirrell, Frances, and Marina Pereira. “Acne conglobata therapeutic approach.” Dermatología Revista Mexicana 61.4 (2017): 308-311.
- López-Estebaranz, J. L., P. Herranz-Pinto, and B. Dréno. “Consenso español para establecer una clasificación y un algoritmo de tratamiento del acné.” Actas Dermo-Sifiliográficas 108.2 (2017): 120-131.
- PEÑALOZA MARTÍNEZ, JOSÉ ÁLVARO. “El acné.” Revista de la Facultad de Medicina 46.004 (2003).
Este texto é fornecido apenas para fins informativos e não substitui a consulta com um profissional. Em caso de dúvida, consulte o seu especialista.







