Riscos das obturações de amálgama para a saúde

Você sabia que as obturações de amálgama são feitas principalmente de mercúrio e que este metal pesado é muito tóxico para a saúde? Você sabia que em alguns países elas estão proibidas devido aos riscos que podem trazer?
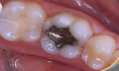
O que são as obturações de amálgama?
A amálgama é um material de cor prateada formado pela combinação de vários metais, principalmente o mercúrio. Os dentistas a utilizam para preencher cavidades que aparecem nos dentes devido às cáries.
Hoje em dia, são usados outros materiais na maioria dos países, já que inúmeros estudos demonstraram a toxicidade do mercúrio, tanto para quem o tem nos dentes quanto para os odontologistas que trabalham com esse material.
Além disso, existe uma tendência ecológica voltada a reduzir cada vez mais o uso de qualquer produto elaborado com mercúrio, já que causa um impacto ambiental muito negativo para o planeta.
Desde o ano de 2008, seu uso está proibido em países como Suécia, Noruega e Dinamarca.
Uma obturação de amálgama contém entre 120 e 570mg de mercúrio, que vai se liberando com o passar do tempo, como consequência da saliva, da acidez gástrica, dos alimentos, das altas temperaturas, etc.
Os vapores de mercúrio gerados são uma grande fonte de toxicidade contínua, já que são absorvidos dia após dia durante toda a vida.
Também é importante ter em mente que a exposição ao mercúrio pode ocorrer através do contato com produtos que o contenham, como alguns termômetros, lâmpadas, baterias, vacinas, cosméticos, cremes que clareiam a pele, tintas, pesticidas, etc.
Além disso, já foi publicado que os peixes azuis de tamanho grande, como o atum, o salmão ou o peixe-espada são os alimentos que mais contêm mercúrio. Por isso, não devem ser consumidos com muita frequência.

Riscos para a saúde
Um dos maiores riscos do mercúrio é que, ainda que parte dele seja eliminado naturalmente, uma proporção importante deste metal pesado se acumula no cérebro, permanecendo aí durante anos.
Isso provoca uma neurodegeneração progressiva, que está relacionada a doenças como o Alzheimer e o mal de Parkinson.
Outro grave problema do mercúrio é o fato de ele ser capaz de atravessar a barreira placentária. Dessa forma, pode chegar ao sistema nervoso central do feto durante a gravidez.
O mercúrio também se acumula no trato gastrointestinal, na cavidade bucal, nos pulmões, na glândula da tireoide, na hipófise, etc.
As obturações de amálgama podem ser retiradas?
Quando as pessoas que possuem obturações de amálgama descobrem os riscos do mercúrio, muitas se fazem a mesma pergunta: elas podem ser retirados para evitar esses problemas de saúde?
Essa dúvida surge principalmente em pessoas que já sofrem com alguns problemas de saúde para os quais não encontram nenhuma causa.
A resposta é que sim, elas podem ser retiradas. Mas o processo deve ser feito seguindo um protocolo muito rígido.
Caso contrário, é melhor deixar as obturações. Isso porque, se a tarefa não for realizada com muito cuidado, tanto o paciente quanto o dentista estarão expostos a uma quantidade de mercúrio significativa e muito repentina, que pode ser prejudicial à saúde.
Leia também: Como posso eliminar a placa e melhorar a minha saúde bucal?

Devemos buscar um profissional especializado na extração de amálgamas e garantir que, durante o processo, sejam levadas em conta questões como as seguintes:
- Isolamento adequado de toda a cavidade bucal para não ingerir restos de amálgama
- Proteção ocular
- Máscara de oxigênio
- Trabalhar com temperaturas frias
- Retirar as amálgamas em bloco e com rapidez
- Novo material para a obturação de boa qualidade
Tratamento com chlorella
Tanto para quem está exposto ao mercúrio quanto para quem já esteve, recomendamos um tratamento com o remédio natural mais eficaz para eliminar os metais pesados do organismo: a chlorella.
Leia também: A chlorella, um remédio natural muito efetivo
Esta alga tem um efeito desintoxicante muito potente e atua contra todo tipo de substância danosa, não somente dos metais pesados. Isso é possível principalmente devido ao seu alto teor de clorofila.
Todas as fontes citadas foram minuciosamente revisadas por nossa equipe para garantir sua qualidade, confiabilidade, atualidade e validade. A bibliografia deste artigo foi considerada confiável e precisa academicamente ou cientificamente.
-
Bates, M. N. (2006). Mercury amalgam dental fillings: An epidemiologic assessment. International Journal of Hygiene and Environmental Health. https://doi.org/10.1016/j.ijheh.2005.11.006
Este texto é fornecido apenas para fins informativos e não substitui a consulta com um profissional. Em caso de dúvida, consulte o seu especialista.







